top of page
Meu Primeiro Gphantom
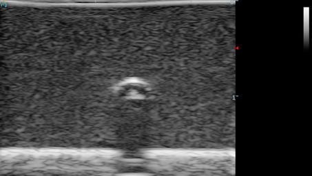
O “Meu Primeiro Gphantom”, é um simulador desenvolvido para atender às necessidades iniciais de estudantes no treinamento de acesso venoso guiado por ultrassom. Com dimensões compactas de 15x8x2 cm, ele simula uma estrutura venosa, equipada com conexões que permitem a retirada de “sangue” artificial através de seringas, além de suportar a passagem de cateteres e fios-guia. Ideal para práticas repetidas e seguras, esse modelo oferece uma experiência imersiva e didática, facilitando o aprendizado de habilidades essenciais para o acesso venoso em um ambiente controlado.
For more information regarding products and modifications, please contact us by clicking the button below.
bottom of page




